Н У Х Т

Перше знайомство з біотехнологією

07 жовтня 2025

Перше знайомство з біотехнологією

Днями учні 8-11 класів закладів загальної середньої освіти і здобувачі освіти фахових коледжів мали можливість стати студентами на день на кафедрі біотехнології і мікробіології нашого університету. У межах цієї профорієнтаційної ініціативи вони взяли участь у лабораторному занятті, на якому старша викладачка Тетяна Белемець разом зі студентами-біотехнологами розповіли їм про міцеліальні гриби.

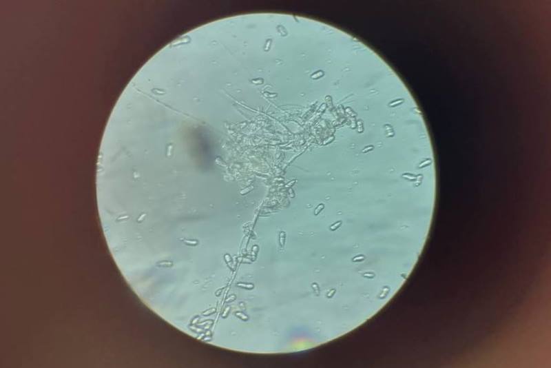
Учасники заходу відвідали лабораторію кафедри, де розглядали різні види міцеліальних грибів під мікроскопом, додатково виконавши декілька практичних завдань, пов’язаних з цими організмами.

Міцеліальні гриби називають «біофабрикою майбутнього» через їх здатність виробляти широкий спектр біологічно активних речовин: ферментів, органічних кислот, антибіотиків, вітамінів та амінокислот. Саме завдяки цьому вони активно застосовуються у фармацевтичній, харчовій і біотехнологічній промисловості.

Гості кафедри дізналися, що в сучасному світі міцелій використовується не лише для створення лікарських препаратів, а й як основа для екологічних матеріалів – біорозкладних упаковок, «грибного шкірозамінника» та навіть будівельних блоків. Це відкриває нові горизонти для розвитку сталих технологій.

Студенти-біотехнологи продемонстрували основні методи культивування грибів і пояснили, як у лабораторних умовах можна отримати колонії для дослідження. Учні спробували самостійно підготувати зразки для мікроскопування, що дозволило їм відчути себе справжніми дослідниками.

Захід пройшов у живій та інтерактивній атмосфері. Молодь активно ставила запитання щодо професії біотехнолога, перспектив навчання у НУХТ і можливостей реалізації себе у сфері науки. Для багатьох це стало першим знайомством із біотехнологією як практичною наукою, яка має величезне значення для розвитку медицини та екології.

Опублікований: 07-10-2025
Читайте також:
Казкова резиденція Святого Миколая створена руками студентів Полтавського коледжу харчових технологій НУХТ

19 грудня українці відзначають одне з найулюбленіших свят року – День Святого Миколая. До цього свята викладачем спецдисциплін Полтавського коледжу харчових технологій НУХТ Оксаною Палаш був проведений майстер-клас, де разом зі студентами групи 41-ТХ Анастасією Степовою, Валерією Дубиною, Олександрою Кривороговою, Наталією Нестеренко була створена ...

ЧИТАТИ ДАЛІ

Казкова резиденція Святого Миколая створена руками студентів Полтавського коледжу харчових технологій НУХТ 19 грудня 2018

Викладачі діляться своїми методиками викладання

На кафедрі мехатроніки та пакувальної техніки відбувся методичний семінар «Інноваційні методи та технології навчання у контексті викладання дисципліни «Кінематика та динаміка машин». Доповідач – доцент, к.т.н. Володимир Костін професійно окреслив нові підходи у навчанні в умовах війни. Лектор висвітлив основні завдання дисципліни, які полягають у ...

ЧИТАТИ ДАЛІ

Викладачі діляться своїми методиками викладання 17 лютого 2023

ІІІ Конкурс на кращий проект ідей з елементами бізнес-планів, бізнес-проектів «У практичній площині: хімія та технологія харчових продуктів та косметичних засобів» успішно відбувся!

В університеті завершився ІІІ Конкурс на кращий проект ідей з елементами бізнес-планів, бізнес-проектів за темою «У практичній площині: хімія та технологія харчових продуктів та косметичних засобів», що проводився в рамках святкування Дня хіміка кафедрою хімічних технологій харчових добавок та косметичних засобів. Відкрив його презентацією про нага...

ЧИТАТИ ДАЛІ

ІІІ Конкурс на кращий проект ідей з елементами бізнес-планів, бізнес-проектів «У практичній площині: хімія та технологія харчових продуктів та косметичних засобів» успішно відбувся! 26 травня 2018

На базі університету працюватиме Центр колективного користування науковим обладнанням

Наш університет на засадах експерименту став засновником Центру колективного користування науковим обладнанням «Лабораторія біобезпеки, якості харчової продукції та безпеки харчування». Центр працюватиме в структурі Науково-дослідної частини НУХТ за рахунок коштів бюджетної програми «Дослідження, наукові та науково-технічні розробки, виконання роб...

ЧИТАТИ ДАЛІ

На базі університету працюватиме Центр колективного користування науковим обладнанням 11 червня 2018